Red Sea Max S-400 LED Vorstellung

Hier kannst Du Dein Riffbecken in Wort und Bild vorstellen und Deinen Anamnesebogen uploaden. Dann können wir Dich und Dein Riffbecken langfristig begleiten.
Gweny
Beiträge: 3460
Registriert: Mittwoch 21. Oktober 2015, 21:27
Wohnort: Nürnberg

Re: Red Sea Max S-400 LED Vorstellung

Beitrag von Gweny »

Oder hab ich da was falsch verstanden?
hmmmmmm ?????

Also ich selber habe noch keinen negativen Aspekte in Bezug des Eisenwertes bei der Verwendung des Clean Anio feststellen können. Bin allerdings auch kein Chemiker. Vielleicht kann da jemand besser geschultes noch was dazu schreiben.

Bei dem Wechsel zwischen verschiedenen Adsorbern, stelle ich mir es nur schwierig vor, den Po4 Wert ideal einzustellen, da ja jeder Adsorber unterschiedlich Po4 bindet.
Grüße miri
Thilo Hospes1989
Beiträge: 308
Registriert: Sonntag 16. Juli 2017, 14:37
Wohnort: Langenhagen

Re: Red Sea Max S-400 LED Vorstellung

Beitrag von Thilo Hospes1989 »

Hallo
Bei dem Wechsel zwischen verschiedenen Adsorbern, stelle ich mir es nur schwierig vor, den Po4 Wert ideal einzustellen, da ja jeder Adsorber unterschiedlich Po4 bindet.
Stimmt aus der Sicht hab ich das noch nicht betrachtet.
Da müsste sich wohl wirklich jemand melden der sich damit besser aus kennt.

Jedenfalls sauge ich jeden Tag die Belege ab und denke eine leichte Besserung zu sehen.
Ich werde dann wenn ich den Kampf gewonnen habe nochmal alles zusammen fassen und ein extra Thema auf machen.
Ist dann wohl übersichtlicher :)
Liebe Grüße, Thilo
Monika_Stefan
Beiträge: 103
Registriert: Montag 22. Januar 2018, 19:17
Wohnort: Nürnberg

Re: Red Sea Max S-400 LED Vorstellung

Beitrag von Monika_Stefan »

Wir hoffen du kannst bald beobachten wie die Schnecken die Beläge auffressen!!! Sind echt gespannt!
Grüße Monika
Thilo Hospes1989
Beiträge: 308
Registriert: Sonntag 16. Juli 2017, 14:37
Wohnort: Langenhagen

Re: Red Sea Max S-400 LED Vorstellung

Beitrag von Thilo Hospes1989 »

Moin grüß dich,
Monika_Stefan hat geschrieben:Wir hoffen du kannst bald beobachten wie die Schnecken die Beläge auffressen!!! Sind echt gespannt!
Bis jetzt sind sie leider überwiegend an den Scheiben.
Aaaber ich habe in der Zwischenzeit fleißig gelesen und bin die FAQ's von Martin Kuhn durch gegangen.
Dort steht auch etwas über Dinoflagellaten, wie man sie identifiziert, bekämpft und so weiter.
Dort habe ich etwas gelesen aber ich werde euch erst davon berichten wenn sich bei mir etwas tut.
Liebe Grüße, Thilo
Thilo Hospes1989
Beiträge: 308
Registriert: Sonntag 16. Juli 2017, 14:37
Wohnort: Langenhagen

Re: Red Sea Max S-400 LED Vorstellung

Beitrag von Thilo Hospes1989 »

Hallo,

Heute ist mein neuer Atemkalkfilter angekommen.
Diesen habe ich natürlich gleich in Betrieb genommen und es ist erstaunlich was Qualität so ausmacht.
Der PH Wert ist innerhalb von 2 Stunden um 0,2 gestiegen.
Dieser liegt jetzt nicht mehr bei 7,84 sondern bei 8,04
Liebe Grüße, Thilo
Gweny
Beiträge: 3460
Registriert: Mittwoch 21. Oktober 2015, 21:27
Wohnort: Nürnberg

Re: Red Sea Max S-400 LED Vorstellung

Beitrag von Gweny »

Der PH Wert ist innerhalb von 2 Stunden um 0,2 gestiegen.
Jepp die Dinger können einiges. :lol:

Es wäre schön wenn du uns bezüglich deiner unerwünschten Gäste auf dem laufenden hälst.
Grüße miri
Thilo Hospes1989
Beiträge: 308
Registriert: Sonntag 16. Juli 2017, 14:37
Wohnort: Langenhagen

Re: Red Sea Max S-400 LED Vorstellung

Beitrag von Thilo Hospes1989 »

Huhu,

Kommt mir mit dem PH ganz entgegen da er ja so wieso erhöht werden sollte.
Bis jetzt ist er auf 8,1 gestiegen, bin also sehr zufrieden bis jetzt.
Was meine Gäste angeht möchte ich noch nicht so viel verraten aber ich bin zuversichtlich :)
Werde ab und zu etwas berichten wenn es was neues gibt.

Das mit dem Grotech Salz hat auch sehr gut funktioniert, Calzium jetzt bei 431 mg/l
Liebe Grüße, Thilo
Monika_Stefan
Beiträge: 103
Registriert: Montag 22. Januar 2018, 19:17
Wohnort: Nürnberg

Re: Red Sea Max S-400 LED Vorstellung

Beitrag von Monika_Stefan »

Du machst es aber auch spannend! Dann werde ich weiter warten und drücke weiter die Daumen!
Grüße Monika
Thilo Hospes1989
Beiträge: 308
Registriert: Sonntag 16. Juli 2017, 14:37
Wohnort: Langenhagen

Re: Red Sea Max S-400 LED Vorstellung

Beitrag von Thilo Hospes1989 »

Danke schön :)
So viel kann ich ja sagen, bis jetzt sieht es ganz gut aus.
Wenn das überstanden ist werde ich ausführlich berichten was ich wann gemacht habe :)
Liebe Grüße, Thilo
Thilo Hospes1989
Beiträge: 308
Registriert: Sonntag 16. Juli 2017, 14:37
Wohnort: Langenhagen

Re: Red Sea Max S-400 LED Vorstellung

Beitrag von Thilo Hospes1989 »

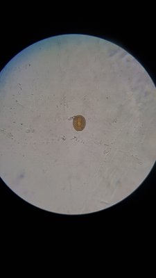
Hallo liebe Gemeinde,

Neues zu meiner Dino (?) Plage.
Ich habe eben nochmal genau unter dem Mikroskop geguckt um wirklich nochmal sicher zu sein und es bewegt sich definitiv nix.
Nicht mal ein kleines zucken.
Außerdem habe ich mich in der Zwischenzeit etwas schlau gemacht und bin durch viel Recherche der überzeugung das es Goldalgen sind.
Goldalgen haben ja außerdem einen abgeflachten Pool in der Mitte, welchen Dinoflagellaten nicht haben und meine haben diesen.
Nachdem ich mir nun sicher bin was es ist werde ich morgen mein Becken für 48 h abdunkeln.
Sollten Sie dann wieder auftauchen werde ich es nochmal für 72 h abdunkeln.

Anbei nochmal neue Bilder
100 fache Vergrößerung
100 fache Vergrößerung
400 fache Vergrößerung
400 fache Vergrößerung
Liebe Grüße, Thilo
Antworten