Red Sea Max S-400 LED Vorstellung

Hier kannst Du Dein Riffbecken in Wort und Bild vorstellen und Deinen Anamnesebogen uploaden. Dann können wir Dich und Dein Riffbecken langfristig begleiten.
Thilo Hospes1989
Beiträge: 308
Registriert: Sonntag 16. Juli 2017, 14:37
Wohnort: Langenhagen

Re: Red Sea Max S-400 LED Vorstellung

Beitrag von Thilo Hospes1989 »

Zum Vergleich
20180203_172600-2016x1134.jpg
Liebe Grüße, Thilo
Monika_Stefan
Beiträge: 103
Registriert: Montag 22. Januar 2018, 19:17
Wohnort: Nürnberg

Re: Red Sea Max S-400 LED Vorstellung

Beitrag von Monika_Stefan »

Schaut besser aus! Wir hoffen das bleibt so, besser gesagt wird noch besser!
Grüße Monika
Thilo Hospes1989
Beiträge: 308
Registriert: Sonntag 16. Juli 2017, 14:37
Wohnort: Langenhagen

Re: Red Sea Max S-400 LED Vorstellung

Beitrag von Thilo Hospes1989 »

IMG_2018-02-11_19-37-23.JPG
Liebe Grüße, Thilo
Thilo Hospes1989
Beiträge: 308
Registriert: Sonntag 16. Juli 2017, 14:37
Wohnort: Langenhagen

Re: Red Sea Max S-400 LED Vorstellung

Beitrag von Thilo Hospes1989 »

War eben in der Badewanne und als ich wieder komme sieht es so aus :(
Liebe Grüße, Thilo
StefanSc
Beiträge: 475
Registriert: Donnerstag 12. Januar 2017, 11:16
Wohnort: Stockstadt am Rhein

Re: Red Sea Max S-400 LED Vorstellung

Beitrag von StefanSc »

Hi Thilo,

ich habe mal eine ähnliche Aktion gestartet. Ich hatte rote Cyanos, grüne Cyanos, Kieselalgen und etwas, wo nicht ganz klar war, was es war. War auch braun, Dinos waren es nicht und Goldalgen wohl auch nicht. Nutze mal die Suchfunktion für verzweigtkettige Cyanos - da geistert hier was im Forum rum. Evtl. hatte ich die.
Falls Dich das intressiert, kannst Du in meinem Beitrag nachlesen.
Jedenfalls habe ich 3 Tage abgedunkelt und alles war weg danach, bis auf die grünen Cyanos. die roten kamen nicht wieder und das braune Zeug kam nach ein paar tagen wieder. Aber weniger heftig. Ich konnte feststellen, dass nach der Dunkelphase ich wieder mehr Silikat im Wasser als zuvor hatte - messe das doch mal. Macht auch Sinn, denn entweder haben sich die braunen Beläge, die zumindest tlw. sicherlich Kieselalgen waren durch das "Verschwinden" das Silikat wieder rückgelöst oder aber durch das Verschwinden der braunen Beläge hat der Verbraucher gefehlt und es konnte sich wieder anreichern.
Falls es bei Dir nun doch Kieselalgen waren, führt wohl kein Weg dran vorbei, das Silikat aus dem Becken zu bekommen - und sei es durch eine längere Algenphase.
Gruß
Stefan
Thilo Hospes1989
Beiträge: 308
Registriert: Sonntag 16. Juli 2017, 14:37
Wohnort: Langenhagen

Re: Red Sea Max S-400 LED Vorstellung

Beitrag von Thilo Hospes1989 »

Hallo Stefan,

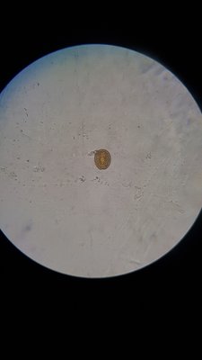
Also Kieselalgen kann ich schon mal definitiv ausschließen, da war unter dem Mikroskop nix von zu sehen.
Die sind ja länglich und was ich habe ist ja runt.
Liebe Grüße, Thilo
Thilo Hospes1989
Beiträge: 308
Registriert: Sonntag 16. Juli 2017, 14:37
Wohnort: Langenhagen

Re: Red Sea Max S-400 LED Vorstellung

Beitrag von Thilo Hospes1989 »

Hallo liebe Freunde,
Sagt mal könnte es vllt sein das es doch iwas anderes ist, zumindest revidiere ich meine letzte Aussage was die Kieselalgen betrifft.
Aus folgendem Grund!

Ich lese ja schon eine ganz Weile Sachen über Dinoflagellaten und so weiter, jetzt habe ich gelesen das sich auf Grund von starken Veränderungen am Becken Algen (Kieselalgen) bilden können und sich durch die große Veränderung die Beckenbiologie erstmal umstellen muss.
Weshalb ich drauf komme ist folgendes.
Ich habe Anfang letzten Monat eine größere Menge Fische eingesetzt, 6 an der Zahl und könnte es sein das dies zu viel war für das Becken?
Weil kurz danach sind die Belege aufgetreten und im Internet habe ich auch etwas darüber gelesen, das es dann passierten kann das nochmal eine Algenphase kommt.
Deshalb könnte Stefan auch gar nicht so falsch mit seiner Vermutung liegen!
Ich werde auf jeden Fall seinen Rat beherzigen und morgen mal den Silikat Gehalt messen aber wenn sich dieser als Grund herausstellt dann weiß ich nicht was das für Algen sein sollen.
Liebe Grüße, Thilo
Benutzeravatar
Jörg Kokott
Beiträge: 4148
Registriert: Mittwoch 3. Juni 2015, 10:31
Wohnort: D-27412 Tarmstedt
Kontaktdaten:

Re: Red Sea Max S-400 LED Vorstellung

Beitrag von Jörg Kokott »

Hi Thilo,
Konstanz ist immer ein wichtiges Thema und Mikroalgen können aus verschiedenen Gründen auftreten, durchaus eben auch bei sich ändernden Umweltbedingungen. Ich würde Dir raten, dass Du Dir darüber nicht allzu große Sorgen machst, das regelt sich von alleine uns Kieselalgen sind nicht wirklich aggressiv. Von daher, lass sich das Becken einfach mal in Ruhe entwickeln.
Die Ableger sind noch sehr klein und müssen erst einmal eine ökologische Konkurrenz entwickeln, das dauert eine Weile.

Ich habe mir Deinen thread hier nicht durchgelesen, das Thema Gestaltung wird sicherlich schon irgendwo thematisiert worden sein. Du hast links extrem hoch und dicht an der Scheibe gebaut, das ergibt Probleme mit der Beströmung und der Strömungsausbreitung. Ich würde bei dem Becken v.a. von rechts nach links mit 2 Pumpen (eine vorne, eine hinten) beströmen, damit Du da hinten keine Ablagerungen und eine gute Strömungsausbreitung bekommst und es dann auch noch eine passive Rückströmung wieder nach rechts ergibt. Der Aufbau ist etwas zu groß und v.a. zu weit links für meine Begriff. Das kannst Du langfristig nur mit mehreren Pumpen beströmen.
Gruß,
Jörg
Thilo Hospes1989
Beiträge: 308
Registriert: Sonntag 16. Juli 2017, 14:37
Wohnort: Langenhagen

Re: Red Sea Max S-400 LED Vorstellung

Beitrag von Thilo Hospes1989 »

Hallo Jörg,

Also sollte ich erstmal nix weiter Unternehmen meinst Du?

Danke für den Typ mit dem Aufbau und der Beströmung, da werde ich mir dann nochmal gedanken machen und die zweite MP40QD vllt doch auf die andere seite setzen.
So das ich beide Pumpen rechts an der Seite habe.
Liebe Grüße, Thilo
Thilo Hospes1989
Beiträge: 308
Registriert: Sonntag 16. Juli 2017, 14:37
Wohnort: Langenhagen

Re: Red Sea Max S-400 LED Vorstellung

Beitrag von Thilo Hospes1989 »

Hallo nochmal,

Was ich noch sagen wollte ist das ich nicht denke das es Kieselalgen sind weil diese ja länglich sind so wie diese hier.
phyto6.jpg
phyto6.jpg (13.41 KiB) 7712 mal betrachtet
Und ich habe ja diese hübschen Dinger, ich denke immer noch das es eine Art Goldalge ist aber ich bin mir nicht genau sicher.
20180208_174244-1134x2016.jpg
20180208_174647-907x1612.jpg
Liebe Grüße, Thilo
Antworten